Skip to content Skip to sidebar Skip to footer

Was Ist Ein Granulom

Granulom Ursachen Beschwerden Therapie Gesundpedia De

Granulom Ursachen Beschwerden Therapie Gesundpedia De

Was ist ein granulom. Was es ist ist noch nicht genau bestimmt da die wahren Ursachen dieser Pathologie noch nicht bekannt sind. Es wird erst nach dem abfallen des Nabelschnurrestes sichtbar. Granulom ist eine Ansammlung von Immunzellen die als Makrophagen bezeichnet werden und während einer Entzündung gebildet werden.

Welcome to Knowledge genie. Typischerweise sind Granulome gutartig. Es kommt häufig in der Lunge vor kann aber auch in anderen Körperteilen gefunden werden.

Das Immunsystem ist trotz einer sich ausbildenden systemischen Immunantwort häufig nicht in der Lage das Granulom aufzulösen und das Pathogen vollständig zu eliminieren. Was ist ein Nabelgranulom. Typisch ist der Aufbau aus MakrophagenHistiozyten im Zentrum mit einem.

Ein Granulom bei dem es ums Herz geht ist ein Granulom mit einem solchen Zentrum bei dem eine Fallnekrose aufgetreten ist. Das überschüssige Gewebe sieht feucht glänzend aus und ist leicht verletzlich. Dieser Wortursprung erklärt die häufige Nutzung des Wortes auch wenn sie streng genommen nicht immer korrekt ist.

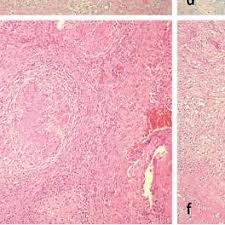
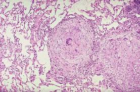
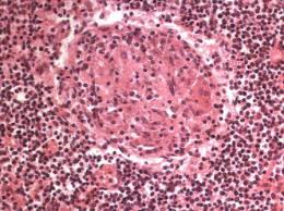
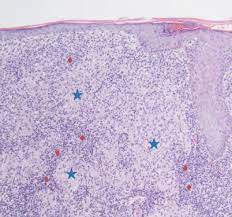
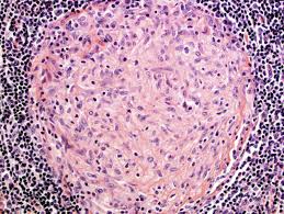
Granulome machen sich zunächst auf einem Hautbereich mittels wenige Millimeter umfassende derbe Papeln Knötchen bemerkbar welche sich in kleinen Gruppen zeigen können. ZusammenfassungAn der Histogenese von Granulomen sind verschiedene Zelltypen beteiligt. Granulom ist ein Sammelbegriff für meist gutartige knötchenförmige Gewebeneubildungen die im histologischen Bild charakteristischerweise mononukleäre Entzündungszellen Makrophagen Lymphozyten Epitheloidzellen und Riesenzellen aufweisen.

Diese Krankheit entwickelt sich in seltenen Fällen bei Kindern- bei Jugendlichen. Granulome scheinen in einer Sequenz von Vorgängen zu entstehen die von diversen Zelltypen und Zytokinen reguliert werden. Diese kleinen bohnenförmigen Trauben werden Granulome genannt.

Typisch ist der Aufbau aus MakrophagenHistiozyten im Zentrum mit einem Randwall aus Lymphozyten. Bringing the latest insights and key developments in medical education to Physicians and the medical community.

Granulom

Granulom

Granulom Wikipedia

Granulom Wikipedia

Granulom Ursachen Symptome Behandlung Medlexi De

Granulom Ursachen Symptome Behandlung Medlexi De

Granulom Doccheck Flexikon

Granulom Doccheck Flexikon

Schwangerschafts Granulom Gynakologie Und Geburtshilfe Georg Thieme Verlag

Schwangerschafts Granulom Gynakologie Und Geburtshilfe Georg Thieme Verlag

Granuloma Anulare Wikipedia

Granuloma Anulare Wikipedia

Granulom Furini Lorenz Zahnarzt Dentista Gais

Granulom Furini Lorenz Zahnarzt Dentista Gais

Granulom Zahngranulom Dental Lexikon 360 Zahn

Granulom Zahngranulom Dental Lexikon 360 Zahn

Was Ist Ein Granulom Springerlink

Was Ist Ein Granulom Springerlink

Sarkoidose Was Ist Ein Granulom Springermedizin De

Sarkoidose Was Ist Ein Granulom Springermedizin De

Sarkoidose Granulome In Vielen Organen Pz Pharmazeutische Zeitung

Sarkoidose Granulome In Vielen Organen Pz Pharmazeutische Zeitung

Majocchis Granulom Dermatly Com Die Website Ihrer Haut

Majocchis Granulom Dermatly Com Die Website Ihrer Haut

Granulom Altmeyers Enzyklopadie Fachbereich Dermatologie

Granulom Altmeyers Enzyklopadie Fachbereich Dermatologie

3 04 Komplikationen Der Akuten Entzundung Und Chronische Entzundung Flashcards Quizlet

3 04 Komplikationen Der Akuten Entzundung Und Chronische Entzundung Flashcards Quizlet

Aktinisches Granulom Dermatly Com Ihre Hautseite

Aktinisches Granulom Dermatly Com Ihre Hautseite

Was Sind Fremdkorpergranulome

Was Sind Fremdkorpergranulome

Was Ist Der Unterschied Zwischen Granulationsgewebe Und Granulom Wissenschaft Der Unterschied Zwischen Ahnlichen Objekten Und Begriffen

Was Ist Der Unterschied Zwischen Granulationsgewebe Und Granulom Wissenschaft Der Unterschied Zwischen Ahnlichen Objekten Und Begriffen

Lexikon Wurzelgranulom Zahngranulom Zahnarzt Best

Lexikon Wurzelgranulom Zahngranulom Zahnarzt Best

Stimmlippengranulom Wikipedia

Stimmlippengranulom Wikipedia

Was Ist Ein Nabelgranulom Hallohebamme

Was Ist Ein Nabelgranulom Hallohebamme

Leck Granulom Bei Hunden Symptome Ursachen Und Behandlungen Haustiere Welt

Leck Granulom Bei Hunden Symptome Ursachen Und Behandlungen Haustiere Welt

Verkalktes Granulom In Der Lunge Behandlung Mehr

Verkalktes Granulom In Der Lunge Behandlung Mehr

Granuloma Was Ist Das Granulom Behandlung Ursachen

Granuloma Was Ist Das Granulom Behandlung Ursachen

Https Encrypted Tbn0 Gstatic Com Images Q Tbn And9gctyepj6nviieqyuhp2jsjv Ywvawjee3dlc55ivik05lfbjvgbt Usqp Cau

Https Encrypted Tbn0 Gstatic Com Images Q Tbn And9gctyepj6nviieqyuhp2jsjv Ywvawjee3dlc55ivik05lfbjvgbt Usqp Cau

Granulom Beim Vogel Tiermedizinportal

Granulom Beim Vogel Tiermedizinportal

Granulom

Granulom

Zahngranulome Ursachen Symptome Behandlung Prognose

Zahngranulome Ursachen Symptome Behandlung Prognose

Granuloma Faciale Altmeyers Enzyklopadie Fachbereich Dermatologie

Granuloma Faciale Altmeyers Enzyklopadie Fachbereich Dermatologie

Eosinophiler Granulom Komplex Egk Bei Der Katze Tiermedizinportal

Eosinophiler Granulom Komplex Egk Bei Der Katze Tiermedizinportal

Pyogenes Granulom Am Zungenrand Zm Online

Pyogenes Granulom Am Zungenrand Zm Online

Definiciones Dermatologia Archives Seite 105 Von 233 Dermatly Com El Sitio De Tu Piel

Definiciones Dermatologia Archives Seite 105 Von 233 Dermatly Com El Sitio De Tu Piel

Granulome Definition Und Synonyme Von Granulome Im Worterbuch Franzosisch

Granulome Definition Und Synonyme Von Granulome Im Worterbuch Franzosisch

Eosinophiles Granulom Der Katze Santevet

Eosinophiles Granulom Der Katze Santevet

Granulom Ubersicht Clinicalkey Now Themen

Granulom Ubersicht Clinicalkey Now Themen

Unterschied Zwischen Granulationsgewebe Und Granulom Vergleichen Sie Den Unterschied Zwischen Ahnlichen Begriffen Wissenschaft 2021

Unterschied Zwischen Granulationsgewebe Und Granulom Vergleichen Sie Den Unterschied Zwischen Ahnlichen Begriffen Wissenschaft 2021

Zahngranulome Symptome Ursachen Und Behandlung

Zahngranulome Symptome Ursachen Und Behandlung

Sarkoidose Granulome In Vielen Organen Pz Pharmazeutische Zeitung

Sarkoidose Granulome In Vielen Organen Pz Pharmazeutische Zeitung

Eosinophiles Granulom Bei Katzen Symptome Und Behandlung

Eosinophiles Granulom Bei Katzen Symptome Und Behandlung

Granulom Lexikon Der Biologie

Granulom Lexikon Der Biologie

Definiciones Dermatologia Archives Seite 105 Von 233 Dermatly Com El Sitio De Tu Piel

Definiciones Dermatologia Archives Seite 105 Von 233 Dermatly Com El Sitio De Tu Piel

Pyiogene Granulombehandlung Mit Volksmittel Behandlung Von Pyrogen Granulom Was Ist Gefahrliche Pathologie Diagnose Und Verfahren Zur Behandlung Von Pyrogengranulom

Pyiogene Granulombehandlung Mit Volksmittel Behandlung Von Pyrogen Granulom Was Ist Gefahrliche Pathologie Diagnose Und Verfahren Zur Behandlung Von Pyrogengranulom

3 04 Komplikationen Der Akuten Entzundung Und Chronische Entzundung Flashcards Quizlet

3 04 Komplikationen Der Akuten Entzundung Und Chronische Entzundung Flashcards Quizlet

Granulom

Granulom

Granulome Unerwunschte Knoten Knubbel Oder Wulste Nach Einer Unterspritzung Blog Bruecklundbrueckl

Granulome Unerwunschte Knoten Knubbel Oder Wulste Nach Einer Unterspritzung Blog Bruecklundbrueckl

Granulom Doccheck Flexikon

Granulom Doccheck Flexikon

Pdf Differenzialdiagnostik Des Rheumatoiden Granuloms

Pdf Differenzialdiagnostik Des Rheumatoiden Granuloms

Granulom A

Granulom A

Zahngranulome Symptome Ursachen Und Behandlung

Zahngranulome Symptome Ursachen Und Behandlung

Diese Krankheit entwickelt sich in seltenen Fällen bei Kindern- bei Jugendlichen.

Manchmal wenn sich Gewebe in einem Organ entzündet - oft als Reaktion auf eine Infektion - gruppieren sich Gruppen von Zellen die als Histiozyten bezeichnet werden zu kleinen Knötchen. Das Granulom ist meist auf eine Verletzung. Was ist ein Granulom. Diese kleinen bohnenförmigen Trauben werden Granulome genannt. Das Immunsystem ist trotz einer sich ausbildenden systemischen Immunantwort häufig nicht in der Lage das Granulom aufzulösen und das Pathogen vollständig zu eliminieren. Der Begriff Granulom kommt aus dem lateinischen und bedeutet übersetzt Knötchen. Typisch ist der Aufbau aus MakrophagenHistiozyten im Zentrum mit einem. Was es ist ist noch nicht genau bestimmt da die wahren Ursachen dieser Pathologie noch nicht bekannt sind. Ein Granulom ist eine spezielle Form der chronischen Entzündung.


Granulom ist eine Ansammlung von Immunzellen die als Makrophagen bezeichnet werden und während einer Entzündung gebildet werden. Granulom ist ein Sammelbegriff für meist gutartige knötchenförmige Gewebeneubildungen die im histologischen Bild charakteristischerweise mononukleäre Entzündungszellen Makrophagen Lymphozyten Epitheloidzellen und Riesenzellen aufweisen. Was ist ein Granulom. ZusammenfassungAn der Histogenese von Granulomen sind verschiedene Zelltypen beteiligt. Granulome werden häufig zufällig bei einem Röntgen- oder anderen Bildgebungstest gefunden der aus einem anderen Grund durchgeführt wurde. Das Immunsystem ist trotz einer sich ausbildenden systemischen Immunantwort häufig nicht in der Lage das Granulom aufzulösen und das Pathogen vollständig zu eliminieren. Denn ursprünglich beschreibt das Granulom lediglich eine Entzündungsreaktion unseres Körpers.

Post a Comment for "Was Ist Ein Granulom"