Skip to content Skip to sidebar Skip to footer

Schwarze Stelle Am Zahn

Schwarze Zahne Konnen Schmerzfrei Behandelt Werden

Schwarze Zahne Konnen Schmerzfrei Behandelt Werden

Schwarze stelle am zahn. Guten Abend Mädels ich habe bei meinem Sohn eine schwarze Stelle am Backenzahn gesehen obwoh wir früh und Abends seine Zähne putzen. Nun habe ich erschreckend fest stellen müssen das ich eine schwarze stelle am 1. Ich gab ihm gerade den Obst-Getreide-Brei als mir diese ungewöhnliche Farbe an seinem Zahnfleisch auffiel.

29 righe Schwarze Verfärbungen entfernen Zahnärzte mittels Ultraschall oder einer professionellen. Backenzahn vorne im unterkiefer habe. Diese dunklen Zahnbeläge sind nicht gefährlicher als die normalen gelben und braunen Beläge.

Die am häufigsten auftretende Form von sich schwarz verfärbenden Zähnen ist das Absterben Nekrose des Zahngewebes Pulpa. Schwarze Stelle am Zahn. Also es zieht nicht am Zahn so wie ich das von Karies kenne sondern es ist einfach wie gesagt so ein seltsames kälte Gefühl wenn ich Zähne putze und wirklich ganz.

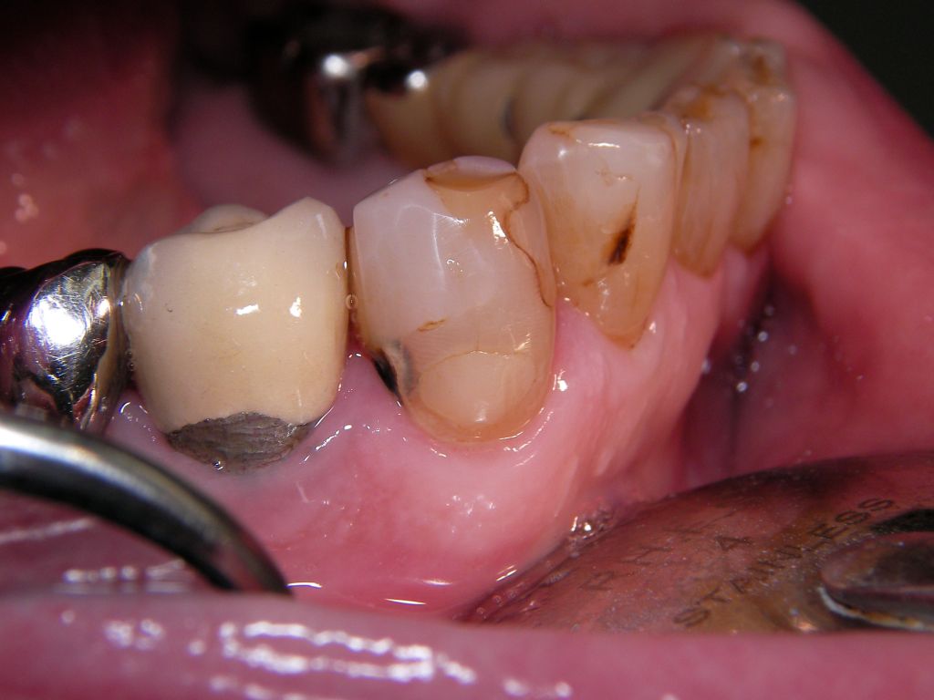
Hallo letztlich kann man das natürlich nur beurteilen wenn man den Zahn untersucht und das kann nur Ihr Zahnarzt machen. Aus zunächst punktförmig braun-pigmentierten Stellen zusammenfließende dunkelbraunschwarze 05-10 mm breite Linien die girlandenförmig parallel zum Zahnfleischrand verlaufen an allen Zähnen auftreten schwer entfernbar sind in etwa 10-20 der 6- bis 15jährigen Kinder auftreten und aus dicht gepackten Bakterien meist grampositiven Stäbchen und einer Matrix bestehen also eine. Also schwarze stellen entstehen meist durch kariesdas kann man bekommen und der zahnarzt denkt sich nichts dabei die haben schon schlimmeres gesehen berlinberlin63 03022011 2141 Das ist nur Karies Zahnfäule.

Das Zahnfleisch kam mir schwarz vor dabei war es eher dunkelblau oder dunkellila im Nachhinein betrachtet. Wenn Sie auf Ihren Zähnen einen Schwarzen kleinen oder größeren Fleck entdecken könnte es sein dass an dieser Stelle Karies entsteht. Ein gesundheitlich bedenklicher Grund für braune Zähne ist Karies.

Und irgendwie ist der Zahn an der Stelle ganz stumpf als wär da was abgebrochen s. Schwarzer Zahnstein ist die am wenigsten bekannte Form aller Zahnbeläge. Schwarze Stellen am Zahn selber entfernen.

Schwarze Stellen am Backenzahn. Was ist schwarzer Zahnstein.

Schwarzer Punkt Auf Dem Zahn Gleich Karies Zahnarztzentrum Ch

Schwarzer Punkt Auf Dem Zahn Gleich Karies Zahnarztzentrum Ch

Schwarzer Punkt Auf Den Zahnen Zahnarztpraxis Dr Zibandeh Balke

Schwarzer Punkt Auf Den Zahnen Zahnarztpraxis Dr Zibandeh Balke

Schwarze Zahne Konnen Schmerzfrei Behandelt Werden

Schwarze Zahne Konnen Schmerzfrei Behandelt Werden

Sind Die Dunklen Stellen Am Zahn Auf Dem Foto Karies Gesundheit Medizin Zahne

Sind Die Dunklen Stellen Am Zahn Auf Dem Foto Karies Gesundheit Medizin Zahne

Karies Oder Nur Verfarbungen Zahne

Karies Oder Nur Verfarbungen Zahne

Parodontitis Zahnfleischschwund Dunkler Fleck Minimed At

Parodontitis Zahnfleischschwund Dunkler Fleck Minimed At

Schwarze Flecken Zwischen Zahn Und Zahnfleisch Zahnmedizin Zahneputzen

Schwarze Flecken Zwischen Zahn Und Zahnfleisch Zahnmedizin Zahneputzen

Toter Zahn Zahn Wird Schwarz Oder Verfarbt Sich Gzfa

Toter Zahn Zahn Wird Schwarz Oder Verfarbt Sich Gzfa

Was Macht Der Zahnarzt Bei Einem Schwarzen Zahn Zahne

Was Macht Der Zahnarzt Bei Einem Schwarzen Zahn Zahne

Zahnaerzte Hh Fissurenversiegelung

Zahnaerzte Hh Fissurenversiegelung

W Schwarze Zahne Ursachen Folgen Und Behandlung

W Schwarze Zahne Ursachen Folgen Und Behandlung

Braune Flecken Auf Den Zahnen Heilpraxis

Braune Flecken Auf Den Zahnen Heilpraxis

Achtung Zahnfleisch Geht Zuruck Dunkle Rander An Zahnkronen Fachgebiete Zmk Aktuell De

Achtung Zahnfleisch Geht Zuruck Dunkle Rander An Zahnkronen Fachgebiete Zmk Aktuell De

Dunkler Fleck Am Zahn Karies Youtube

Dunkler Fleck Am Zahn Karies Youtube

Ist Dieser Punkt Strich Karies

Ist Dieser Punkt Strich Karies

Zahnstein Oder Karies So Lassen Sie Sich Unterscheiden

Zahnstein Oder Karies So Lassen Sie Sich Unterscheiden

Neue Verfahren In Der Zahnmedizin Wie Karies Ohne Schmerzen Und Bohren Verschwindet

Neue Verfahren In Der Zahnmedizin Wie Karies Ohne Schmerzen Und Bohren Verschwindet

Karies Behandlung Zahnfaule Entfernen Ganz Ohne Bohren Welt

Karies Behandlung Zahnfaule Entfernen Ganz Ohne Bohren Welt

Endodontisch Bedingte Zahnverfarbungen Quintessenz Verlags Gmbh

Endodontisch Bedingte Zahnverfarbungen Quintessenz Verlags Gmbh

Braune Flecken Auf Den Zahnen Ursachen Behandlung Hilfe Medlexi De

Braune Flecken Auf Den Zahnen Ursachen Behandlung Hilfe Medlexi De

Kreidezahne Zahnarzte Warnen Vor Neuer Volkskrankheit Mih Der Spiegel

Kreidezahne Zahnarzte Warnen Vor Neuer Volkskrankheit Mih Der Spiegel

Zahnkrankheiten Bei Kindern Mama Mein Mund Tut Weh Stern De

Zahnkrankheiten Bei Kindern Mama Mein Mund Tut Weh Stern De

Michael Logies Homepage

Michael Logies Homepage

1

1

Kariesbehandlung Wetzlar Schonend Minimalinvasiv Schmerzfrei

Kariesbehandlung Wetzlar Schonend Minimalinvasiv Schmerzfrei

Karies Erkennen Und Entfernen Onmeda De

Karies Erkennen Und Entfernen Onmeda De

Schwarzer Zahnstein Optischer Makel Oder Sogar Gefahrlich

Schwarzer Zahnstein Optischer Makel Oder Sogar Gefahrlich

Ist Mein Zahn Von Karies Befallen Gesundheit Und Medizin Gesundheit Zahne

Ist Mein Zahn Von Karies Befallen Gesundheit Und Medizin Gesundheit Zahne

Wie Aussert Sich Karies Zahnarzt Praxis Ludwigshafen Prof Dr Dhom Mannheim

Wie Aussert Sich Karies Zahnarzt Praxis Ludwigshafen Prof Dr Dhom Mannheim

Karies Erkennen Und Entfernen Onmeda De

Karies Erkennen Und Entfernen Onmeda De

Schwarze Zahne Denta Beaute

Schwarze Zahne Denta Beaute

Zahn Abgebrochen Focus Arztsuche

Zahn Abgebrochen Focus Arztsuche

Unterminierende Karies Zahnnotizen

Unterminierende Karies Zahnnotizen

Karies Bei Kleinkindern Zahne Alles In Ordnung Medizinisches Kind Swissmom Ch

Karies Bei Kleinkindern Zahne Alles In Ordnung Medizinisches Kind Swissmom Ch

Wie Zahne In 2 Minuten Aufhellen Zahnstein Und Schwarze Zahne Entfernen Ohne Zahnarzt Youtube

Wie Zahne In 2 Minuten Aufhellen Zahnstein Und Schwarze Zahne Entfernen Ohne Zahnarzt Youtube

Karies Symptome Ursache Behandlung Mooci

Karies Symptome Ursache Behandlung Mooci

Behandlung Dunkler Dreiecke Mittels Komposit Veneering Fachgebiete Zmk Aktuell De

Behandlung Dunkler Dreiecke Mittels Komposit Veneering Fachgebiete Zmk Aktuell De

Zahnaerzte Hh Fissurenversiegelung

Zahnaerzte Hh Fissurenversiegelung

Frontzahn Komposit Zahnarzt Koln Maarweg

Frontzahn Komposit Zahnarzt Koln Maarweg

Dunkle Flecken An Den Backenzahnen Kein Karies Zahne

Dunkle Flecken An Den Backenzahnen Kein Karies Zahne

Zahnverfarbungen Das Hilft Wirklich

Zahnverfarbungen Das Hilft Wirklich

Toter Zahn Focus Arztsuche

Toter Zahn Focus Arztsuche

Weisse Flecken Auf Kinderzahnen Initiative Prodente E V

Weisse Flecken Auf Kinderzahnen Initiative Prodente E V

Zahnstein Vorbeugen Erkennen Und Entfernen Lassen

Zahnstein Vorbeugen Erkennen Und Entfernen Lassen

Grune Schwarze Zahne Gesundheit Und Medizin Arzt Zahnarzt

Grune Schwarze Zahne Gesundheit Und Medizin Arzt Zahnarzt

Schwarz Am Zahn Der Hund

Schwarz Am Zahn Der Hund

Zahnlucke Behandlung Von Schwarzen Dreiecken

Zahnlucke Behandlung Von Schwarzen Dreiecken

Michael Logies Homepage

Michael Logies Homepage

1

1

Schwarze Stellen am Backenzahn.

Hallo nicht jede schwarze Stelle ist KariesIn ihrem Fall kann es sich tatsächlich nur um Verfärbungen handeln. Schwarze Stellen am Backenzahn. Und irgendwie ist der Zahn an der Stelle ganz stumpf als wär da was abgebrochen s. Das Zahnfleisch kam mir schwarz vor dabei war es eher dunkelblau oder dunkellila im Nachhinein betrachtet. Wenn sie morgens aufwachen haben sie einen Belag Plaque auf Ihren Zähnen. Die am häufigsten auftretende Form von sich schwarz verfärbenden Zähnen ist das Absterben Nekrose des Zahngewebes Pulpa. Schwarze stelle am zahn. Hallo nicht jede schwarze Stelle ist KariesIn ihrem Fall kann es sich tatsächlich nur um Verfärbungen handeln. Schwarze stellen am zahn.


Nun habe ich erschreckend fest stellen müssen das ich eine schwarze stelle am 1. Also es zieht nicht am Zahn so wie ich das von Karies kenne sondern es ist einfach wie gesagt so ein seltsames kälte Gefühl wenn ich Zähne putze und wirklich ganz. Diese dunklen Zahnbeläge sind nicht gefährlicher als die normalen gelben und braunen Beläge. Ich habe angst das er raus genommen werden muss da man es sehen würde. Ein gesundheitlich bedenklicher Grund für braune Zähne ist Karies. Hallo nicht jede schwarze Stelle ist KariesIn ihrem Fall kann es sich tatsächlich nur um Verfärbungen handeln. Aber immer noch am Zahn eine größere schwarze Stelle ist.

Post a Comment for "Schwarze Stelle Am Zahn"